Tag Protection de l'enfance | Dernières publications

    • collectivités
    • Villeurbanne
    • Santé
    • Précarité
    • Protection de l'enfance
    • Justice
    • Fonction publique

Toutes les publications

Malbouffe au menu pour les mineurs isolés de Perpignan

Malbouffe au menu pour les mineurs isolés de Perpignan

Soupçonnés de prises illégales d’intérêts dans une affaire de marchés publics révélée par Blast, deux agents du département des…

Lire la suite
INFO BLAST : A Perpignan, les fonctionnaires du département se servent à la cantine

INFO BLAST : A Perpignan, les fonctionnaires du département se servent à la cantine

Pour nourrir près de 250 mineurs non accompagnés dont il a la charge, le département des Pyrénées-Orientales est en contrat…

Lire la suite
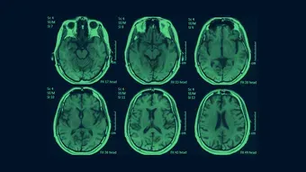
Syndrome du bébé secoué, un scandale français

Syndrome du bébé secoué, un scandale français

Régulièrement, la presse se fait l’écho d’histoires de nourrissons morts ou handicapés, toutes plus sordides les unes que les…

Lire la suite
Claudiu, vie et mort d’un jeune Rom de 11 ans

Claudiu, vie et mort d’un jeune Rom de 11 ans

Début juin, Claudiu est décédé d’une overdose dans un bidonville à Villeurbanne. Deux mois plus tôt, le parquet de Lyon avait…

Lire la suite